什么是硼中子俘获疗法(bnct)?BNCT治疗脑膜瘤有效性评估
BNCT治疗脑膜瘤。BNCT ( boron neutron capture therapy )利用中子和硼的核反应,是几乎不损伤正常细胞、选择性破坏癌细胞的治疗方法,不仅对初发单发癌,对扩散到个别脏器的癌、转移性癌、难治性癌也有效果。
另外,在进行了通常的放射线治疗之后也能治疗,除了对复发癌的治疗也能期待效果之外,通过与其他的治疗法并用BNCT,治疗的效果也有可能进一步提高。
本治疗方法,不进行开颅和肿瘤切除,低侵袭,患者的QOL (生活质量)提高被大大期待。

BNCT (硼中子俘获疗法)原理

BNCT (硼中子俘获疗法)治疗的特点
关于BNCT (硼中子俘获疗法)治疗的定位
不降低患者的QOL (生活质量)就能根治性治疗的“放射线治疗”,与“外科疗法(手术)”、“化学疗法(抗癌剂)”并列,被定位为癌症的标准的三大治疗方法,现在,正在进行各种各样的技术开发。
在癌症放射线治疗中,能够应对广泛癌种的“x射线治疗”是主角。 “质子线治疗”“碳线治疗”是效果很好的治疗方法,相当部分与“x射线治疗”的适应重合。
与此相对,BNCT不仅适用于x射线治疗,对于质子线治疗和碳射线治疗难以应对的癌症也有可能适用,作为担负将来癌症治疗的治疗方法是有希望的。

关于BNCT (硼中子俘获疗法)治疗的对象疾病
BNCT治疗脑膜瘤案例一则评估
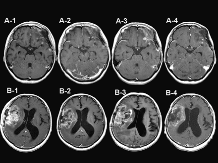
两名患者均有多发性脑膜瘤复发,并接受了重复手术和50Gy XRT分割治疗。第一例为横纹肌样脑膜瘤。BNCT也显示了质量的收缩(图A-2)随着增强体积的瞬时增加(图A-3)。增强的质量逐渐缩小,再次没有任何处理(图A-4)。第二例为间变性脑膜瘤。在这种情况下,BNCT没有显示出肿块大小的显著减小,但是在BNCT之后显示出肿瘤肿块的增强减少(图B-2)。然而,肿块在BNCT后2.5个月变大,并在肿块的大小和核心的增强方面自发地再次减小,并且病灶周围水肿减少(图B-4)。在这两种情况下,BNCT可以很好地控制局部肿块。

图示:硼中子俘获疗法治疗复发性恶性脑膜瘤假性进展的两个典型病例(BNCT)。(A-1-A-4)第一例的钆增强磁共振图像:BNCT (A-1)之前、BNCT(A2)之后48小时、BNCT(A3)之后1个月以及BNCT (A-4)之后2个月。(B-1–B-4)第二例的钆增强磁共振图像:BNCT之前(B-1),BNCT之后1.5个月(B-2),BNCT之后2.5个月(B-3),BNCT之后6个月(B-4)。
脑膜瘤什么情况下不适合硼中子治疗

注意 | 颅底脑膜瘤以及病变位置深的脑膜瘤患者治疗选择:手术仍是一线方案
手术切除脑膜瘤是极为有效的治疗手段。随着显微手术技术的发展,脑膜瘤的手术效果不断提高,使大多数病人得以治愈,手术原则是:控制出血、保护脑功能、力争全切。对于解剖位置比较深的脑膜瘤,例如枕骨大孔区、大脑镰旁、岩斜区等区域,往往由于位置特殊,手术难度大,导致切除不干净,如果强行切除,偏瘫等副作用的风险就急剧升高。而寻找世界知名神经外科专家的手术治疗,为的就是对于高难度手术的高切除率、低风险、低副作用,而且脑膜瘤如果第一次手术能够越接近理论意义的全切,那么复发的可能性就越低,无进展生存期(PFS)就越长,总体预后(Prognosis)和总生存期(OS)就越好,生活质量也会得到保障。
未来的BNCT (硼中子俘获疗法)治疗的流程
了解巴教授实时动态,请关注INC国际神经外科医生集团官网(incsg.cn)
- Tag标签:
- BNCT治疗脑肿瘤的临床效果 硼中子俘获治疗是什么 硼融合的核反应 恶性肿瘤 靶向放射疗法
- 栏目:疗法科普
- 网址:https://www.bnctcenter.cn/bnct/66.html
- 硼中子俘获疗法(BNCT)是一种非手术方式治疗局部侵袭性恶性肿瘤的治疗方法,中国硼中子可以治疗哪些肿瘤?硼中子俘获治疗bnct主要治疗原发性脑瘤、胶质瘤、四级胶质母细胞瘤、复发性头颈部肿瘤,以及黑色素瘤等。了解硼中子俘获治疗临床招募信息请来电咨询我们。如需转载“什么是硼中子俘获疗法(bnct)?BNCT治疗脑膜瘤有效性评估”请务必注明来源和链接。



