硼中子俘获(BNCT)治疗高级别脑膜瘤的有益结果
高级别脑膜瘤(HGM;世界卫生组织WHO 2和3级)和高度脑胶质瘤在病理上都难以控制。通常,标准治疗选择是大体全切除和部分切除后的放疗。确实,颅底脑膜瘤(SBM)更具挑战性,因为它通常不能全切,并且并发症可能会在手术切除后扩大。
在过去的几十年中,我们目睹了外部束放射疗法(EBRT)和立体定向放射外科(SRS)的应用热潮。但是,迄今为止,尚无长期高级别颅底脑膜瘤患者的数据。最近,科学家们一直在尝试通过肿瘤细胞选择性强化粒子辐射,硼中子俘获疗法(BNCT)来控制高级颅底脑膜瘤。
什么是BNCT硼中子俘获疗法?
硼中子俘获治疗(Boron Neutron Capture Therapy,BNCT)即应用热中子照射靶向聚集在肿瘤部位的硼,当存在于自然界的非放射性元素硼(10B)受到热中子照射时,发生核裂变反应,产生具有高线性能量转换的α粒子,自身衰变为7Li。
BNCT技术产生的α线和7Li粒子与X线或者γ线有很大区别,其飞行距离短(大约为一个细胞的长度),因此在肿瘤细胞内核反的α线与7Li粒子对周边正常组织的影响很小;但BNCT所达到的生物效应却是X线或者γ线的2~3倍以上,并且物理效应与X线及γ线相当。因此,放疗界期待利用BNCT治疗得到更好的效果。
BNCT治疗高级别颅底脑膜瘤的方案
在2018年发表在世界知名神经外科杂志《Journal of Neurological Surgery》的一篇临床研究论文中,对比了33位接受硼中子俘获治疗的高级别颅底脑膜瘤,所有患者通常每人服用500 mg/kg的BPA,含或不含5或2.5 g的硼氢化钠(BSH)。BPA和BSH均由Stella Pharma Corporation(日本大阪)的初次患者提供,但后来主要从Katchem Ltd.或Interpharma Praha(捷克共和国)购买。然而,随着研究的进行,由于BSH的高成本,BSH的采购变得困难。因此,我们省略了26例患者的BSH给药。
BPA仅在中子辐照前2小时(200 mg/kg/h)施用,然后在中子辐照期间(100 mg/kg/h)降低BPA,以在整个中子辐照期间维持患者的血液BPA浓度。当有BSH可用时,从中子辐照前的12小时开始,将化合物溶液给药1小时。从开始施用硼化合物到中子辐照完成后每1至2个小时取样一次,以监测血液中的硼浓度。假设肿瘤和脑组织中来自BSH的硼浓度与每个患者的血液浓度相似。在肿瘤和正常脑组织中,使用肿瘤与正常脑之比为18估算硼浓度F-BPA用于PET成像。
基于前面提到的每种硼化合物的贡献以及中子束和化合物的相对生物学功效,我们通过剂量规划系统放射治疗应用模拟环境(SERA;爱达荷州国家工程和环境实验室)对6 13 14进行了模拟,以模拟中子注量率。并估算出对肿瘤和正常脑组织的总辐射剂量。此外,确定中子照射的持续时间不超过正常大脑的15格雷当量(Gy-Eq)。在这项研究中,Gy-Eq暗示了X射线剂量,可以提供与生物学上BNCT总辐射等效的效果。治疗后,我们重新精确估算了给药剂量。
结果:随访期间目标肿块的体积缩小
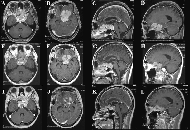
在观察过程中,所有前颅底脑膜瘤患者的肿块均显示体积缩小。尽管所有肿瘤均表现出逐渐缩小的趋势,但在某些患者中,BNCT治疗后通常观察到短暂的增加,通常是在放疗后一个月内,然后再次减少。这种模式称为伪渐进(图1)。图2代表肿瘤缩小的说明性情况。该患者是一名49岁的女性,前颅底发育为非典型脑膜瘤。BNCT治疗后3个月,患者的体积减少了30%。

图1:肿瘤体积与硼中子俘获治疗(BNCT)后经过的时间(天)之间关系的散点图,第0天是指治疗周期,治疗前1至3周获取第0天绘制的值(100%)。每位患者从BNCT治疗到复发的所有值都绘制在同一张图上。

图2:BNCT治疗之前(A–D),治疗之后(E–H)3周和治疗之后3个月(I–L)的非典型脑膜瘤的图像。
诊断后和BNCT治疗后的生存周期对比
截止到论文发表前,该研究的四名患者仍然活着,BNCT后和诊断后SBM中的MST分别为24.6和67.5个月(图3)。在BNCT后或诊断后的MST中,在SBM和非SBM中未观察到显着差异。此外,我们确定BNCT的作用可以预期在头皮表面深处的颅底肿瘤中使用。但是,将我们的结果与其他报告进行比较是相当困难的,因为我们的患者对任何现有的治疗方法都难以接受。因此,我们的研究人群因重复手术和放射治疗的多种疗法而存在偏见。此外,如先前所述,我们研究中的几例患者因全身转移和放射线以外复发而死亡)

图3:硼中子俘获治疗(BNCT)(A)和诊断后(B)的Kaplan-Meier生存曲线图。BNCT治疗和诊断后的颅底脑膜瘤中位生存期分别为24.6和67.5个月。
结论:对抗高级别颅底脑膜瘤,硼中子俘获疗法(BNCT)或可起到一定的积极有益效果。这也可以说是近年来国际肿瘤治疗领域新兴快速发展的精准诊疗技术,被日本医学界称为继手术、传统放疗、抗癌药物、免疫治疗之后的“第五疗法”,对于复发性、浸润性、局部转移肿瘤具有突出临床优势,已在全球上千例临床上证明在复发性头颈癌、恶性脑瘤、黑色素皮肤癌、骨肉瘤、乳癌等多种实体肿瘤上有显著可靠的疗效。
参考文献:doi:10.1055/s-0038-1666837
了解巴教授实时动态,请关注INC国际神经外科医生集团官网(incsg.cn)
- 栏目:疗法科普
- 网址:https://www.bnctcenter.cn/bnct/59.html
- 硼中子俘获疗法(BNCT)是一种非手术方式治疗局部侵袭性恶性肿瘤的治疗方法,中国硼中子可以治疗哪些肿瘤?硼中子俘获治疗bnct主要治疗原发性脑瘤、胶质瘤、四级胶质母细胞瘤、复发性头颈部肿瘤,以及黑色素瘤等。了解硼中子俘获治疗临床招募信息请来电咨询我们。如需转载“硼中子俘获(BNCT)治疗高级别脑膜瘤的有益结果”请务必注明来源和链接。






